骨科基础知识——你知道多少之"骨细胞"
骨科基础知识——你知道多少之"骨细胞"
原创:何琪医生
审核:广州中医药大学第一附属医院 王海彬教授
文章所属:王海彬教授团队,转发请标明出处。
众所周知,骨是由骨组织、骨膜、和骨髓构成。其具有支持、保护、造血及贮钙的功能。而其中的骨基质则是由大量钙化的细胞外基质和几种细胞构成。接下来,就让我们一起认识一下骨组织细胞中的骨细胞。

图片来源于网络
1.骨细胞是什么?
骨组织中的细胞成分包括骨原细胞、成骨细胞、骨细胞和破骨细胞。而只有骨细胞存在于骨组织内,其他三种细胞均位于骨组织的边缘(即骨质的表明)。
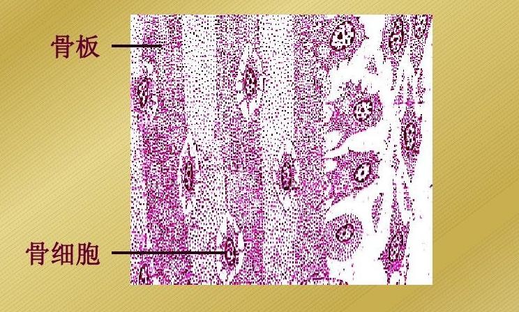
骨细胞是成骨细胞逐渐丧失成骨功能,而转变为骨细胞。多为扁椭圆形、多突起的细胞,核亦扁圆、染色深。胞质弱嗜碱性。

图片来源于网络
骨细胞夹在相邻两层骨板间或分散排列于骨板内。相邻骨细胞的突起之间有缝隙连接。在骨基质中,骨细胞胞体所占据的椭圆形小腔,称为骨陷窝(bone lacuna),其突起所在的空间称骨小管(bone canaliculi)。相邻的骨陷窝借骨小管彼此通连。骨陷窝和骨小管内均含有组织液,可营养骨细胞和排出代谢产物。

图片来源于网络

图.绿色箭头代表骨陷窝,蓝色箭头代表骨小管
2.骨细胞的功能
(1)具有骨溶解功能
骨细胞可以消除骨陷窝壁表面或陷窝壁基质中排列松散的钙、磷结晶,而不是包含紧凑的周围腔隙钙化基质。当甲状旁腺激素(PTH)升高可引起骨细胞性溶骨(osteocytic osteolysis),当骨细胞进行溶骨活动时,其所在骨陷窝往往呈不规则形,腔隙变大,窝壁粗糙不平,电镜观察可见窝壁表层骨质先失去骨盐,继之骨胶纤维溶解,最后仅残存少量无定形有机基质。骨细胞的溶骨活动可使钙离子释放入骨陷窝的组织液中,继而进入血液,维持血钙平衡。Tazawa等研究发现对8个月大的大鼠连续给予 PTH 4 周以上, 在X线显微照相下可显示骨细胞和骨陷窝增大。

图.Tazawa实验中X线显微照相下显示的骨细胞和骨陷窝,A.无注射PTH B.注射PTH
(2)具有一定成骨作用
由于形成期骨细胞胞浆内碱性磷酸酶的活性很高,胞浆内含有丰富的粗面内质网、线粒体和高尔基复合体等细胞器,可参与合成与分泌原胶原,产生新的基质,使骨组织钙、磷沉积和释放处于稳定状态,以维持血钙平衡。
(3)骨细胞是骨组织中力的主要感应细胞
骨细胞是骨组织中机械应力的主要感受器,它可以将机械应力转化为生化信号。成熟骨细胞的胞体及其突起的总表面积占成熟骨基质总表面积的90%以上,因此骨细胞几乎与所有钙化的骨基质表面接触,骨陷窝-小管网络系统通过间隙连接使骨细胞与骨细胞之间,以及骨细胞与骨组织其他类型细胞之间具有高度的连通性,构成庞大的网状结构,具备了感受和传递应力信号的结构基础。
许多体内研究发现在受到机械刺激后,骨细胞中的一些基因和蛋白质的表达发生了改变。说明骨细胞可以将机械刺激转化成生化信号。例如,有学者发现在齿槽骨的骨细胞中Cx43在机械压力(牙床运动)下的表达会增加。在骨细胞树突延伸中起作用的膜蛋白E11/gp38,机械刺激4h后即可被激活。在牙运动模型和鼠尺骨骨形成应力模型中,主要由分化后期的成骨细胞和骨细胞分泌的细胞外基质蛋白牙本质基质蛋白I(DMP1)在应答机械应力几小时内被激活。这些研究虽然证明了骨细胞是机械应力的主要感受细胞,但是骨细胞感受机械应力的机制还不清楚,有继续深入研究的价值。
参考文献:
Tazawa K , Hoshi K , Kawamoto S , et al. Osteocytic osteolysis observed in rats to which parathyroid hormone was continuously administered[J]. Journal of Bone and Mineral Metabolism, 2004, 22(6):524-529.
-
- 精选10部八十年代港产爆笑喜剧 绝对值得你再看一次
-
2025-08-30 08:53:50
-
- 半价游玩,淡季错峰出行,接下来三个月,很多地方是绝佳出行季
-
2025-08-30 08:51:35
-
- 独家揭秘:杨紫与肖战浪漫火锅约会后相见双方父母,粉丝紧急辟谣
-
2025-08-30 08:49:20
-
- 北美自驾——至今的刻骨唯爱城市:圣路易斯市
-
2025-08-30 08:47:05
-
- 木村拓哉和工藤静香的爱情故事,远没有传说中那么美好
-
2025-08-30 08:44:49
-
- 乡宁云丘山,景点近百处,四大奇观、五处绝景,堪称豪华5A级
-
2025-08-30 08:42:34
-
- 一公司生产"随便果"被罚一千多万
-
2025-08-30 08:40:19
-
- 灌篮高手人物志-樱木花道 1.初出茅庐
-
2025-08-30 08:38:04
-
- 西华师范大学附属中学2021年招聘临聘人员的公告
-
2025-08-30 08:35:49
-
- 中国四大无人区都在哪里?荒凉与独特的生物多样性
-
2025-08-30 08:33:34
-
- 看一次笑一次,120张能让心情变好的图片,看看第几张逗笑你了
-
2025-08-30 08:31:19
-
- 美女人体油画:妖娆抚媚,纯净动人,典雅静美,带你一路看尽
-
2025-08-30 08:29:04
-
- 燕郊十五怪,在燕郊的我已经见怪不怪
-
2025-08-30 08:26:49
-
- 宋茜身高168,体重不到90,坚持3个饮食习惯,网友:难怪瘦
-
2025-08-30 08:24:33
-
- 中美六年贸易战:双方越打越强,却把三大工业强国给“打废”了!
-
2025-08-30 08:22:18
-
- 盛一伦自曝初恋,乖巧男孩也有叛逆时光!
-
2025-08-29 10:41:24
-
- 如何拍好全家福?
-
2025-08-29 10:39:09
-
- 女人出轨前,大多会有这些征兆,一看便知
-
2025-08-29 10:36:53
-
- 《新·樱花通信》再现!无职处男的东京人生成功配!?
-
2025-08-29 10:34:38
-
- 遇到蛇挡路,是预示什么还是偶然巧合?
-
2025-08-29 10:32:24



屠洪刚的三个妻子照片大曝光 揭屠洪刚三段鲜为人知的婚姻
妻子五年出轨500多次!丈夫愤怒曝光聊天记录,震撼揭露背后真相